Гормональная терапия

Большинство видов рака молочной железы являются гормоночувствительными: считается, что опухоль чувствительна к гормонам, если она имеет рецепторы эстрогена или прогестерона. Наличие этих гормонов, вырабатываемых организмом, стимулирует рост опухолевых клеток.

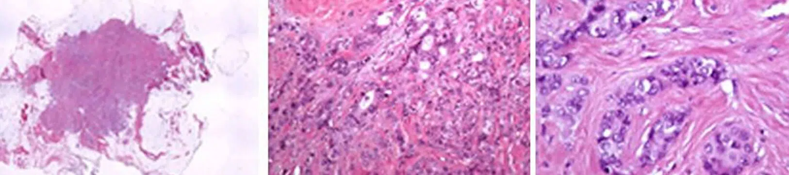
Именно гистологическое исследование биопсии или хирургического образца позволяет узнать, имеет ли опухоль гормональные рецепторы для эстрогена и прогестерона.

ЗАПИСАТЬСЯ НА ПРИЕМ
Hormonothérapie à Paris : traitements et solutions | Institut Du Sein Paris

Laissez votre commentaire

Laissez votre commentaire

Le champ n’est pas valide
Le champ n’est pas valide